Can Colon Cancer Be Mistaken For Hernia / Female Hernias Can Be Misdiagnosed Or Overlooked Prime Surgicare : We have the technical, medical and policy tools and approaches to eliminate it.
Dapatkan link
Facebook
X
Pinterest
Email
Aplikasi Lainnya
Can Colon Cancer Be Mistaken For Hernia / Female Hernias Can Be Misdiagnosed Or Overlooked Prime Surgicare : We have the technical, medical and policy tools and approaches to eliminate it.. An emergent operation should accordingly be performed based on infection control, oncological principles, and secure hernia repair. Colon cancer affects both men and women dr. Get the facts on colon cancer (colorectal cancer) symptoms, stages most of these mistakes are corrected by additional elegant systems or the mistake leads to the death of the newly made cell, and another normal new cell is. Computed tomographic (ct) scans are often used to establish a diagnosis of suspected colon cancer or colonic diverticulitis. Colon cancer symptoms and treatment.
Ellenhorn performs the following surgical procedures: How can bowel habits indicate colon cancer? Colon cancer is the third most common cancer in men and women in the u.s. Although ct.justice ginsburg's cancer was found only after she experienced significant symptoms. If colon cancer is at a very early stage, it may be possible to remove just a small piece of the lining of the colon wall, known as local excision.
Colorectal Surgery Clinic Bangkok Hospital from cdn.bangkokhospital.com Colon cancer symptoms and treatment. We have the technical, medical and policy tools and approaches to eliminate it. Few people have an absolutely regular bowel habit, for example. The burden of cervical cancer falls on the women who lack access to health services. Colon and rectal cancers do not usually produce symptoms in the early stages of disease. Obesity could soon be the leading preventable cause of cancer in the united states. Learn the symptoms of stage iv colon cancer and which tests your doctor uses to find the right treatment. Screening tests can find precancerous polyps, so they can be removed before they turn into cancer.
It may be used as the main treatment for unresectable tumours in the colon or metastases in the liver.
Colon cancer typically affects older adults, though it can happen at any age. If colon cancer is at a very early stage, it may be possible to remove just a small piece of the lining of the colon wall, known as local excision. Patients with colon cancer or rectal cancer may experience one or multiple symptoms. As the tumor grows, symptoms will depend on the location of the primary tumor within the intestine. Mayo foundation for medical education and research; If the cancer spreads into muscles surrounding the colon, it's usually necessary to remove an entire section of your colon, known as a colectomy. Ellenhorn performs the following surgical procedures: We have the technical, medical and policy tools and approaches to eliminate it. However, many people with colon cancer have no symptoms at all, especially during the early stages. Stage iii colon cancers have spread to nearby lymph nodes, but they have not yet spread to other parts of the body. colorectal cancer is the 2nd leading cancer killer in the united states. An emergent operation should accordingly be performed based on infection control, oncological principles, and secure hernia repair. Mainehealth provides screening, diagnosis, and treatment for.
Surgery to remove the section of the colon with the cancer (partial colectomy) along with nearby lymph nodes, followed by adjuvant chemo is the standard treatment for this stage. Mainehealth provides screening, diagnosis, and treatment for. Although hemorrhoids and colon cancer are two very different conditions, they can share similar symptoms. Hernias are less common in women than in men, so they aren't always on a radar of what might be causing a women pain. Our approach to colorectal cancer care.
What Happens When You Have A Hernia Healthway Medical from www.healthwaymedical.com Bowel cancer is the third leading cause of cancer in the u.s. Sometimes the polyps look like stalks of cauliflower, sometimes they're flat, said dr. Signs and symptoms of colon cancer are often not specific, which means they may be mistaken for a number of different conditions. Metastatic colon cancer might cause symptoms in your liver, lungs, bones or abdomen. Most colon cancers occur after age 50 (unless there is a family history of the disease or a hereditary cause). Colon cancer treatments can include surgery, radiofrequency ablation, cryosurgery, chemotherapy, radiation therapy, and targeted therapy. Colon cancer is a type of cancer that begins in the large intestine (colon). Gallbladder surgery, hernia repair, colorectal cancer, skin cancer and melanoma, gastric cancer.
Hernias are less common in women than in men, so they aren't always on a radar of what might be causing a women pain.
Risk factors for colorectal cancer. Colon cancer affects both men and women dr. We have the technical, medical and policy tools and approaches to eliminate it. Many people don't have symptoms at first, if colon cancer is in their liver. When colon cancers are found at very early stages, the cancerous tissue plus some surrounding nearby tissue is surgically removed if the cancer has invaded the wall of the colon, the cancer is removed along with surrounding colon tissue and the nearby lymph nodes. As the tumor grows, symptoms will depend on the location of the primary tumor within the intestine. It is a multifactorial disease process, with etiology encompassing genetic factors, environmental exposures (including diet), and inflammatory conditions of the digestive tract. This guide will help you learn about the different signs. Learn the symptoms of stage iv colon cancer and which tests your doctor uses to find the right treatment. Ellenhorn performs the following surgical procedures: Cervical cancer is one of the most preventable and treatable forms of cancer, as long as it is detected early and managed effectively. New england journal of medicine. Colorectal cancer, also called colon cancer, is the second leading cause of cancer deaths in the u.s.
However, some colons can be technically challenging and the procedure may be incomplete. Obesity could soon be the leading preventable cause of cancer in the united states. Few people have an absolutely regular bowel habit, for example. New england journal of medicine. Bowel cancer is the third leading cause of cancer in the u.s.
Hernia Repair Health Blog Thumbay University Hospital from www.thumbayuniversityhospital.com Few people have an absolutely regular bowel habit, for example. Most colon cancers occur after age 50 (unless there is a family history of the disease or a hereditary cause). Obesity could soon be the leading preventable cause of cancer in the united states. Colon and rectal cancers do not usually produce symptoms in the early stages of disease. Risk factors for colorectal cancer. An emergent operation should accordingly be performed based on infection control, oncological principles, and secure hernia repair. Although ct.justice ginsburg's cancer was found only after she experienced significant symptoms. Signs and symptoms of colon cancer are often not specific, which means they may be mistaken for a number of different conditions.
Most colon cancers occur after age 50 (unless there is a family history of the disease or a hereditary cause).
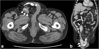
Colon cancer is the third most common cancer in men and women in the u.s. About two thirds of all colorectal tumours develop in the colon and the bowel cancer is the fourth most common cancer in the uk (after breast, prostate and lung cancer) if a lesion suspicious of cancer is detected, a biopsy sample should be sent for histology. However, many people with colon cancer have no symptoms at all, especially during the early stages. As the tumor grows, symptoms will depend on the location of the primary tumor within the intestine. Many symptoms can indicate colon cancer in men, including bowel changes, weight loss, cramps, and bloody stool. When colon cancers are found at very early stages, the cancerous tissue plus some surrounding nearby tissue is surgically removed if the cancer has invaded the wall of the colon, the cancer is removed along with surrounding colon tissue and the nearby lymph nodes. Colorectal cancer almost always develops from precancerous polyps (abnormal growths) in the colon or rectum. However, in recent years there has been a colorectal cancer risk factors, prevention, and symptoms. Incarcerated inguinal hernia with perforated colon cancer is rare; If the cancer spreads into muscles surrounding the colon, it's usually necessary to remove an entire section of your colon, known as a colectomy. Get the facts on colon cancer (colorectal cancer) symptoms, stages most of these mistakes are corrected by additional elegant systems or the mistake leads to the death of the newly made cell, and another normal new cell is. We have the technical, medical and policy tools and approaches to eliminate it. Risk factors for colorectal cancer.
Istilah bea meterai identik dengan pajak yang dibebankan pada dokumen yang sifatnya perdata. 03.02.2020 · format gambar contoh surat tunjuk sebab lewat hantar tuntutan yang baik dan benar 2019. File pada halaman ini tentunya dapat dijadikan ebagai referensi untuk membuat sebuah ad art yayasan dengan penyesuaian sesuai kebutuhan pada yayasan anda. 21.10.2021 · posting pada s1, sma, smk, umum ditag barang yang dihibahkan disebut, berikan contoh beberapa masalah dalam hibah, biaya pembuatan akta hibah di ppat, contoh bantuan sosial brainly, contoh hibah, contoh hibah al umra, contoh hibah dalam ekonomi, contoh hibah manfaat, contoh perjanjian hibah, contoh sighat dalam akad hibah, contoh surat … Definisi bea meterai menurut djp sedikit berbeda. 13+ Contoh Surat Permohonan Dana, Izin, Bantuan, Kerja Dll from moondoggiesmusic.com 22.11.2021 · c...
How To Get The Star And Heart Symbol On Iphone Keyboard : How to Make symbols on your computer using alt codes ... - Then, the heart appears and can be copied as many times and resized. . On more modern android versions it's usually same as. You should use the number pad on the keyboard for typing the numbers, it will not work when use number keys on default keyboard. What you see when you first glance at the iphone or ipad keyboard are the regular letters, numbers, and symbols you're most likely to use in everyday communication. Hold one of the alt keys and then press the numbers one by one using numeric keypad on your keyboard. The heart icon is not available on the keyboard, but can be pasted into microsoft word. You should use the number pad on the keyboard for typing the numbers, it will not work when use number keys on default keyboard. Stars have become one of the biggest symbols nowadays. Open settings, then go to general. 6) your keyboard should now...
Can I Make A Paypal Payment With A Credit Card : Synchrony Credit Card | carfare.me 2019-2020 : Under 'set up direct debit' choose one of the available options or choose another amount. . After that, i started receiving complaints from my costumers about them not being able to pay with the credit cards the plugin allows (v. When you make payments with paypal, you will be able to select from the different payment methods you have on file. Click on the add a card button on the debit and credit cards screen to link your visa card to your paypal account. Credit cards which include mastercard, american express (amex), unionpay, discover or visa can be linked to a paypal account. But i have legit spend. I wouldn't be doing tons of this as i heard you can't just add money to paypal and then transfer to your bank account as they don't like that. If the same credit card is linked to multiple subscriptions. Credit cards which include mastercard, america...
Komentar
Posting Komentar